Mann-Whitney U Test on CRP results in 220 cases with different diseases
Pearson correlation among CRP and main indicators of hepatic function, blood routine and biochemical
Multiple linear regression analysis results
Comparison of general clinical data between PE group and control group(±s)
Comparison of levels of serum APN, TG, TC, HDL and LDL between PE group and control group (±s)
Comparison of levels of serum APN, TG, TC, HDL and LDL between MPE group and SPE group (±s)
Comparison of serum hormone levels between two groups (±s)
Comparison of 95%CI of serum hormone levels between two groups
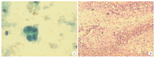
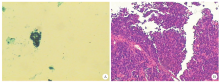
Primary and re-review interpretation of 61 610 cases by liquid-based cytology test [n(%)]
Interpretation of cytology versus reference standard (histology diagnosis)
Interpretation of conventional Pap smears versus reference standard (histology diagnosis)
Detection of squamous intraepithelial lesion and squamous cell carcinoma by both cytological techniques versus reference standard (histology diagnosis)
Pathogen types and constituent ratios among 610 samples of community-acquired pneumonia (%)
Comparison of drug resistance rates of the main Gram negative bacteria(top three)(%)
Comparison of drug resistance rate of the mainly Gram positive bacteria(top three)(%)