Chinese Medical E-ournals Database

Chinese Journal of Obstetrics & Gynecology and Pediatrics(Electronic Edition) ›› 2005, Vol. 01 ›› Issue (01): 23 -26. doi: 10.3877/cma.j.issn.1673-5250.2005.01.111

Original Article

Clinical pathologic analysis of 26 cases of uterine vascular leiomyoma

Xiao-yan HAN, Ming-rong QIE, Kai-xuan YANG, Lian XU, Yuan-hui PENG   

  1. Department of Obstetrics and Gynecology, Second Huaxi University Hospital, Sichuan University, Chengdu Sichuan 610041, China ;
    Department of Pathology, Second Huaxi University Hospital, Sichuan University, Chengdu Sichuan 610041, China;
    Huaxi University Hospital, Sichuan University, Chengdu Sichuan 610041, China
  • Published:2005-04-20
Objective

To investigate the clinicopathological features of the uterine vascular leiomyoma and to improve the understanding of clinical gynecologists for it.

Methods

We retrospectively analysed the clinical and pathological data of 26 cases of uterine vascular leiomyoma from 1998 to 2004, of which all patients were treated by operations and all specimens were confirmed by pathologic examination. Also the cases were followed up postoperation.

Results

Being a type of rare, special leiomyoma, the prevalence of uterine vascular leiomyoma had been increasing recently. Menstruation changes presented the most common clinical features accompanying with anemia. It was difficult to distinguish vascular leiomyoma from common myoma of uterus by B Ultrasound in most situations. Color Doppler Ultrasound had certain advantages in adjuvant diagnosis. This type of leiomyoma had the similar operation pattern with common ones but the pathologic changes are different.

Conclusions

Considering that it is rich in vessels, further diagnosis should be prompted by Color Doppler Ultrasound when the vascular leiomyoma is suspected by B Ultrasound. We should treat it positively because its main clinical feature is bleeding caused by menstruation changes which can lead to anemia. Careful preparation is needed before operation because hemorrhage is severer in vascular leiomyoma than in the common ones during operation. As for the big vascular leiomyoma, we should get ourselves ready for possible difficult surgery. If needed, blood should be prepared for operation use.

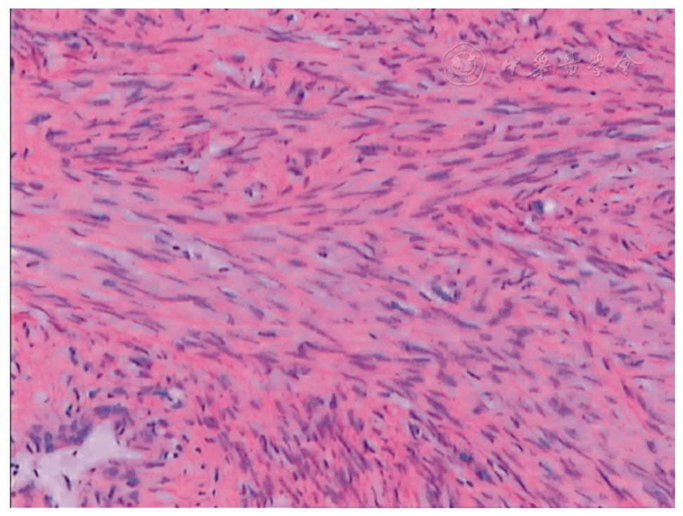
图1 普通子宫平滑肌瘤
图2 血管性平滑肌瘤
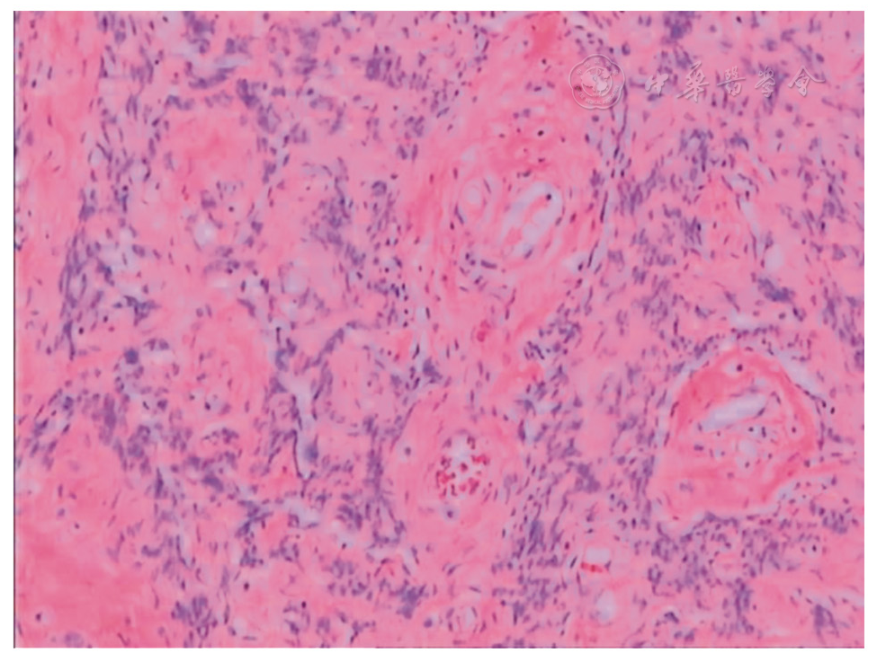
图3 子宫静脉内平滑肌瘤
图4 伴出血的平滑肌瘤
图5 间质细胞肉瘤
1 李友红,晏培松,李莉.子宫多发性血管平滑肌瘤一例.中华妇产科杂志,2001,36:232.
2 曹泽毅主编.中华妇产科学,第1版.北京:人民卫生出版社,1999,1810.
3 李杰,孙萍,刘海燕.了宫粘膜下巨人血管平滑肌瘤1例.中国超声诊断杂志,2001,2:46-47.
4 王世阆主编.子宫肌瘤,第2版.北京:人民卫生出版社,2000,54.
5 曹泽毅主编.妇科肿瘤学.北京:北京出版社,735.
6 Sternberg SS. Diagnostic Surgical Pathology. Third Edition.Volume 2. 1999,2272-2287.
[1] Zhitong Ge, Zhenhong Qi, Yahong Wang, Qing Zhang, Jin Jin, Ligang Fang, Jianchu Li. Analysis of ultrasonic manifestation of intravascular leiomyomatosis expanding beyond uterus[J]. Chinese Journal of Medical Ultrasound (Electronic Edition), 2018, 15(10): 751-757.
Viewed
Full text


Abstract