切换至 "中华医学电子期刊资源库"

中华妇幼临床医学杂志(电子版) ›› 2025, Vol. 21 ›› Issue (05) : 544 -553. doi: 10.3877/cma.j.issn.1673-5250.2025.05.007

论著

超声诊断对是否有病理诱发点继发性肠套叠患儿的临床价值
刘芳, 刘百灵, 方玲(), 丁豆豆, 崔苗, 何欢, 王婷   
  1. 西安交通大学附属儿童医院超声科,西安 710002
  • 收稿日期:2025-05-29 修回日期:2025-09-07 出版日期:2025-10-01
  • 通信作者: 方玲

Diagnostic value of ultrasonography in secondary intussusception caused by different pathological lead points

Fang Liu, Bailing Liu, Ling Fang(), Doudou Ding, Miao Cui, Huan He, Ting Wang   

  1. Department of Ultrasound, Children′s Hospital Affiliated to Xi′an Jiaotong University, Xi′an 710002, Shaanxi Province, China
  • Received:2025-05-29 Revised:2025-09-07 Published:2025-10-01
  • Corresponding author: Ling Fang
  • Supported by:
    Natural Science Foundation of Shaanxi Province(2025JC-YBMS-991)
引用本文:

刘芳, 刘百灵, 方玲, 丁豆豆, 崔苗, 何欢, 王婷. 超声诊断对是否有病理诱发点继发性肠套叠患儿的临床价值[J/OL]. 中华妇幼临床医学杂志(电子版), 2025, 21(05): 544-553.

Fang Liu, Bailing Liu, Ling Fang, Doudou Ding, Miao Cui, Huan He, Ting Wang. Diagnostic value of ultrasonography in secondary intussusception caused by different pathological lead points[J/OL]. Chinese Journal of Obstetrics & Gynecology and Pediatrics(Electronic Edition), 2025, 21(05): 544-553.

目的

探讨超声诊断是否有病理诱发点(PLP)继发性肠套叠患儿的诊断效能。

方法

选择2019年9月1日至2024年8月31日于西安交通大学附属儿童医院外科及消化内科进行肠套叠手术或内镜复位的187例肠套叠患儿为研究对象。根据手术或病理学检查结果证实是否有PLP,将其分为原发性肠套叠组(无PLP组,n=110)和继发性肠套叠组(PLP组,n=77)。PLP组中,肠道息肉患儿为29例(黑斑息肉综合征为20例、幼年性息肉为9例),梅克尔憩室患儿为20例,肠重复畸形患儿为18例,淋巴瘤患儿为6例,变态反应性紫癜、胃间质瘤、脂肪母细胞瘤及海绵状血管瘤各为1例。采用回顾性分析法比较2组患儿性别、发病年龄、肠套叠复发率、肠套叠长径及横径。以手术或病理学检查结果为继发性肠套叠诊断的"金标准",计算超声诊断继发性肠套叠的敏感度、特异度、准确率、阳性预测值、阴性预测值及约登指数。本研究遵循的程序经西安交通大学附属儿童医院医学伦理委员会审核批准(审批文号:20240823-05)。

结果

①PLP组患儿的发病年龄及复位后肠套叠复发率,均显著高于无PLP组,并且差异有统计学意义(P<0.05)。②PLP组继发性肠套叠患儿中,PLP类型为肠道息肉、梅克尔憩室、肠重复畸形及淋巴瘤者的发病年龄、复发率和肠套叠长径总体比较,差异均有统计学意义(P<0.05)。肠重复畸形继发肠套叠患儿发病年龄,显著低于肠道息肉、梅克尔憩室及淋巴瘤者,并且差异均有统计学意义(P<0.05);淋巴瘤继发肠套叠患儿发病年龄,显著高于肠道息肉、肠重复畸形者,并且差异均有统计学意义(P<0.05);肠重复畸形继发肠套叠患儿复位后复发率,显著低于肠道息肉、梅克尔憩室及淋巴瘤者,并且差异均有统计学意义(P<0.05),淋巴瘤继发肠套叠患儿的肠套叠横径,显著大于肠道息肉者,差异有统计学意义(P<0.05);梅克尔憩室继发肠套叠的肠套叠长径,显著长于肠道息肉及淋巴瘤者,差异均有统计学意义(P<0.05)。③PLP组超声检查漏诊继发性肠套叠者为5例,无PLP组超声检查误诊为继发性肠套叠者为15例,超声诊断继发性肠套叠的敏感度为93.5%(72/77),特异度为86.4%(95/110),准确率为89.3%(167/187),阳性预测值为82.8%(72/87),阴性预测值为95.0%(95/100),约登指数为0.79。④4种主要类型PLP继发性肠套叠患儿中,肠道息肉、梅克尔憩室、肠重复畸形、淋巴瘤者的超声诊断约登指数分别为0.93、0.58、0.92、0.82。

结论

超声诊断继发性肠套叠患儿的总体敏感度较高,其中对肠道息肉、肠重复畸形及淋巴瘤者具有较高的诊断效能,但是对于梅克尔憩室者诊断效能相对较低。

Objective

To evaluate the diagnostic value of ultrasonography in identifying secondary intussusception induced by different pathological lead points (PLP).

Methods

A total of 187 pediatric patients with intussusception who underwent surgical or endoscopic reduction in the Department of Surgery or Department of Gastroenterology at the Children′s Hospital of Xi′an Jiaotong University between September 1, 2019 and August 31, 2024, were retrospectively enrolled in this study. According to surgical and/or pathological findings confirming the presence or absence of a PLP, the patients were divided into two groups: PLP group (n=77) and non-PLP group (n=110). In PLP group, the etiologies included intestinal polyp (n=29), Meckel′s diverticulum (n=20), intestinal duplication (n=18), and lymphoma (n=6); Henoch-Schönlein purpura, gastrointestinal stromal tumor, lipoblastoma, and cavernous hemangioma were each observed in one case. Demographic and clinical characteristics, including gender, age, recurrence rate of intussusception, and the longitudinal and transverse diameters of the intussusception, were retrospectively analyzed and compared between two groups. Using surgical or pathological findings as the gold standard, the sensitivity, specificity, accuracy, positive predictive value, negative predictive value, and Youden index of ultrasonography in diagnosing secondary intussusception were calculated. This study was reviewed and approved by the Ethics Committee of the Children′s Hospital of Xi′an Jiaotong University (Approval No. 20240823-05).

Results

① The age and recurrence rate of patients in PLP group were significantly higher than those in non-PLP group (P<0.05). ② Among patients in PLP group, there were significant overall differences in age, recurrence rate, and length of intussusception among those with intestinal polyp, Meckel′s diverticulum, intestinal duplication, and lymphoma (P< 0.05). Further pairwise comparisons showed that the age of patients with secondary intussusception caused by intestinal duplication was significantly lower than that of patients with intestinal polyp, Meckel′s diverticulum, or lymphoma (P<0.05). Patients with secondary intussusception due to lymphoma were significantly older than those with intestinal polyp or intestinal duplication (P<0.05). The recurrence rate of intussusception in patients with intestinal duplication was significantly lower than that in those with intestinal polyp, Meckel′s diverticulum, or lymphoma (P<0.05). The transverse diameter of intussusception in patients with lymphoma was significantly larger than that in patients with intestinal polyp (P<0.05). The length of intussusception in patients with Meckel′s diverticulum was significantly greater than that in patients with intestinal polyp or lymphoma (P<0.05). ③ In PLP group, five cases of secondary intussusception were missed on ultrasonography, whereas in non-PLP group, 15 cases were misdiagnosed as secondary intussusception. The diagnostic performance of ultrasonography for secondary intussusception was as follows: sensitivity, 93.5% (72/77); specificity, 86.4% (95/110); accuracy, 89.3% (167/187); positive predictive value, 82.8% (72/87); negative predictive value, 95.0% (95/100); and Youden index, 0.79. ④Among the four types of PLP, intestinal polyp, Meckel′s diverticulum, intestinal duplication, and lymphoma, the Youden indices of ultrasonographic diagnosis were 0.93, 0.58, 0.92, and 0.82, respectively.

Conclusions

The overall sensitivity of ultrasonography for diagnosing secondary intussusception was high. It demonstrated good diagnostic performance in cases caused by intestinal polyps, intestinal duplication, and lymphoma, whereas the diagnostic efficacy for secondary intussusception resulting from Meckel′s diverticulum was relatively low.

表1 2组肠套叠患儿的一般临床资料比较
表2 PLP组4种主要PLP(肠重复畸形、肠道息肉、梅克尔憩室及淋巴瘤)继发肠套叠患儿临床特点差异比较结果
图2 本研究1例黑斑息肉综合征肠息肉继发性肠套叠患儿(女性,4岁2个月)超声声像图及病理学检查图像[图2A:超声可见实性包块内部呈条状高低回声相间的特征性"菊花石"样改变;图2B:病理学检查结果提示黏膜腺体增生,表面黏膜呈绒毛状,间质内见树枝状增生的平滑肌(HE染色,低倍)]
图4 本研究1例梅克尔憩室内翻继发性肠套叠患儿(男性,6岁2个月)的超声声像图[图4A:可见套筒中央偏强回声区(黄色箭头所示);图4B:横断面可见水肿系膜及脂肪组织形成高回声区呈"月盘状"(黄色箭头所示)]
图5 本研究1例肠重复畸形继发性肠套叠患儿(女性,3个月龄)的超声声像图及病理学检查图像[图5A:超声可见肠套叠横断面套筒中央为一囊腔(黄色箭头所示),囊壁为消化道壁结构;图5B:超声可见纵断面囊腔位于套筒头端;图5C:病理学检查结果提示囊腔内衬柱状黏液上皮,局部与肠管壁共肌层(HE染色,低倍)]注:HE为苏木精-伊红
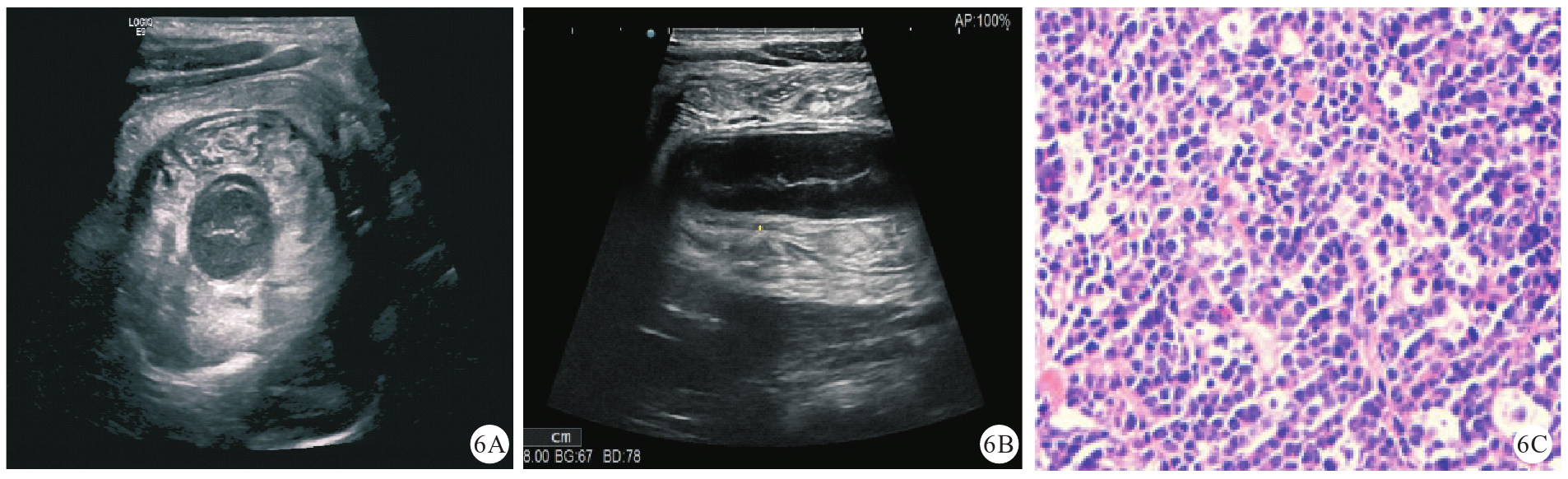
图6 本研究1例肠淋巴瘤继发性肠套叠患儿(男性,11岁1个月)的超声声像图及病理学检查图像[图6A:超声可见肠淋巴瘤继发肠套叠横断面套筒中心极低回声肠壁,未见系膜组织,套筒肠壁增厚,层次不清;图6B:超声可见纵断面套入部病变肠管增厚,呈极低回声;图6C:病理学检查结果提示肿瘤细胞弥漫分布,肿瘤细胞中等大小,细胞质稀少,可见核分裂象,提示Burkitt淋巴瘤(HE染色,高倍)]注:HE为苏木精-伊红
图7 本研究1例无PLP误诊为梅克尔憩室继发肠套叠患儿(男性,8个月龄)的超声声像图[图7A:纵断面套筒内可见水肿增厚的肠壁呈假性偏心厚壁肠袢(黄色箭头所示);图7B:横断面示套筒不伴大于3层的多重靶环征象]注:PLP为病理诱发点
表3 以手术或病理学检查结果为继发性肠套叠诊断的"金标准",超声诊断继发性肠套叠的诊断效能(例数)
图9 本研究1例海绵状血管瘤继发性肠套叠误诊为肠息肉继发性肠套叠患儿(男性,2岁4个月)的超声声像图(黄色箭头所示)]
图11 梅克尔憩室内翻继发性肠套叠误诊为变态反应性紫癜继发性肠套叠患儿(女性,12岁2个月)的超声声像图[图11A:纵断面示憩室内翻(黄色箭头所示),中央区高回声与系膜相延续;图11B:横断面示套筒内肠壁水肿增厚(黄色箭头所示),加之患儿有变态反应性紫癜病史,故被误诊为变态反应性紫癜继发肠套叠]
表4 超声诊断4种主要类型PLP继发性肠套叠患儿的诊断效能
[1]
闫玉玺,刘庆华,刘小芳,等.小儿继发性肠套叠超声表现[J].中国医学影像技术201935(1): 91-94. DOI:10.13929/j.1003-3289.201803159.
[2]
张翔宇,杨合英,李延安,等. 超声引导下水压灌肠复位小儿肠套叠复发的危险因素分析[J].中华普通外科杂志2024, 33(2): 126-130. DOI: 10.3760/cma.j.cn113855-20230810-00047.
[3]
徐晓钢,曾纪晓,刘斐,等. 空气灌肠复位联合无瘢痕微创手术治疗儿童继发性肠套叠[J].临床小儿外科杂志202346(3): 254-259. DOI: 10.3760/cma.j.cn101785-202109011-010.
[4]
Ma G, Lillehei C, Callahan MJ. Air contrast enema reduction of single and recurrent ileocolic intussusceptions in children: patterns, management and outcomes [J]. Pediatr Radiol, 2020, 50(5): 664-672. DOI: 10.1007/s00247-020-04612-5.
[5]
Ferrantella A, Quinn K, Parreco J, et al. Incidence of recurrent intussusception in young children: a nationwide readmissions analysis [J]. J Pediatr Surg, 2020, 55(6): 1023-1025. DOI: 10.1016/j.jpedsurg.2020.02.034.
[6]
Ye X, Tang R, Chen S, et al. Risk factors for recurrent intussusception in children: a systematic review and Meta-analysis [J]. Front Pediatr, 2019, 7: 145. DOI: 10.3389/fped.2019.00145.
[7]
别淑贤,江米足. 复发性肠套叠126例临床特征分析[J]. 中华儿科杂志202260(7):655-659. DOI: 10.3760/cma.j.cn112140-20220321-00229.
[8]
沈秋龙,陈亚军,彭春辉,等. 单中心儿童继发性肠套叠的临床特点总结[J]. 中华小儿外科杂志201738(12):907-910. 10.3760/cma.j.issn.0253-3006.2017.09.007.
[9]
杨梅,宋文琳,朱伟伟,等. 肠套叠空气灌肠复位后复发患儿CT特征及影响因素分析[J].介入放射学杂志2024, 33(10): 1121-1124. DOI: 10.3969/j.issn.1008-794X.2024.10.015.
[10]
王晓曼,贾立群. 超声在儿童结肠息肉诊断中的应用价值 [J/OL]. 中华医学超声杂志(电子版)2011, 8(1): 143-148. DOI:10.3877/cma.j.issn.1672-6448.2011.01.026.
[11]
周承校,唐然,卞剑,等. 小儿内翻型梅克尔憩室继发肠套叠临床诊治分析[J].中华小儿外科杂志2025, 46(5): 438-442. DOI: 10.3760/cma.j.cn421158-20240512-00227.
[12]
王丽,王大勇,王四维,等. 儿童内翻型梅克尔憩室继发肠套叠临床特点及诊治[J]. 中华实用儿科临床杂志202237(19):1482-1485. DOI:10.3760/cma.j.cn101070-20220529-00628.
[13]
金益,陈青江,章跃滨,等. 达芬奇机器人与腹腔镜在儿童肠重复畸形切除术中的应用对比研究[J]. 临床小儿外科杂志2022, 21(7):632-636. DOI: 10.3760/cma.j.cn101785-202204005-007.
[14]
郭迪,李钱程,张欣贤,等. 儿童肠重复畸形CT表现[J].医学影像学杂志202131(9):1543-1546.
[15]
夏敏,王雪莉,郑月,等. 儿童非霍奇金淋巴瘤的临床及病理特点[J]. 中华实用儿科临床杂志202136(3):191-194.DOI: 10.3760/cma.j.cn101070-20191113-01128.
[16]
黄召,刘登辉. 儿童原发性肠道淋巴瘤继发肠套叠的手术治疗 [J]. 临床小儿外科杂志202322(2):163-167. DOI: 10.3760/cma.j.cn101785-202204042-013.
[17]
马能强,孙传政,李勇,等. 儿童Burkitt淋巴瘤继发肠套叠的临床分析[J].中华胃肠外科杂志2016, 19(1): 90-92. DOI: 10.3760/cma.j.issn.1671-0274.2016.01.022.
[18]
Gupta H, Davidoff AM, Pui C, et al. Clinical implications and surgical management of intussusception in pediatric patients with Burkitt lymphoma [J]. J Pediatr Surg, 2007, 42(6): 998-1001, discussion 1001. DOI: 10.1016/j.jpedsurg.2007.01.033.
[1] 卢瑞芳, 林欣欣, 王昱, 许芊芊, 吴少虹, 王伟, 陈立达, 程美清. 2023年美国肝病研究学会肝细胞癌筛查指南的验证研究[J/OL]. 中华医学超声杂志(电子版), 2025, 22(11): 1046-1054.
[2] 陈子为, 邹南鑫, 宋禄达, 姜波, 张奥, 张夕, 李秋洋. 基于超声的Bosniak分级对肾脏囊性病变的诊断价值及一致性分析[J/OL]. 中华医学超声杂志(电子版), 2025, 22(11): 1062-1070.
[3] 吴群, 李培, 马宁, 王芳韵, 郑淋, 卫海燕, 张鑫. 儿童先天性冠状动脉瘘合并巨大冠状动脉瘤的超声心动图诊断[J/OL]. 中华医学超声杂志(电子版), 2025, 22(11): 1080-1085.
[4] 浦仕枰, 丁昱, 卜锐, 刘小永, 高楚婷, 史明媛, 夏春娟, 唐月月. 颈动脉Plaque-RADS评分对冠状动脉狭窄程度的预测价值[J/OL]. 中华医学超声杂志(电子版), 2025, 22(10): 955-961.
[5] 姚垚, 杨小红, 赵胜, 高艳多, 郭凯莉. 胆道闭锁产前及生后超声诊断分析[J/OL]. 中华医学超声杂志(电子版), 2025, 22(10): 962-968.
[6] 张涛, 徐梓祎, 徐景竹, 王兴华. 急性肾静脉闭塞肾脏不同区域杨氏模量差异性的实验研究[J/OL]. 中华医学超声杂志(电子版), 2025, 22(10): 982-987.
[7] 周欣, 梁豪进, 邓振宇, 肖菊花, 周小军. 基于人工智能技术评价江西省孕11~13+6周产前超声筛查质量现状及提出能力提升对策[J/OL]. 中华医学超声杂志(电子版), 2025, 22(09): 850-857.
[8] 陆溧玲, 杨秀珍, 徐彬, 赵镭, 钱晶晶, 李晓英, 王彪, 叶菁菁. 婴幼儿陈旧性卵巢囊肿蒂扭转的超声表现及诊断价值[J/OL]. 中华医学超声杂志(电子版), 2025, 22(08): 748-753.
[9] 刘晴晴, 俞劲, 徐玮泽, 张志伟, 潘晓华, 舒强, 叶菁菁. OBICnet图像分类模型在小儿先天性心脏病超声筛查中的应用价值[J/OL]. 中华医学超声杂志(电子版), 2025, 22(08): 754-760.
[10] 罗旭芳, 王艳子, 滕红娜, 赵德莉, 袁丽, 靳思雨, 官浩. 基于时机理论对重度烧伤患儿照护者照护体验的质性研究[J/OL]. 中华损伤与修复杂志(电子版), 2026, 21(01): 40-46.
[11] 孙太鹏, 袁勇贵. 儿童青少年精神卫生服务的现状与展望[J/OL]. 中华临床医师杂志(电子版), 2025, 19(11): 805-808.
[12] 洪素, 况利. ICD-11 CDDR框架下的实践参考:儿童青少年心境障碍[J/OL]. 中华临床医师杂志(电子版), 2025, 19(11): 814-817.
[13] 陈妍, 陈珏. ICD-11 CDDR框架下的实践参考:儿童青少年心身疾病[J/OL]. 中华临床医师杂志(电子版), 2025, 19(11): 818-822.
[14] 杜琳, 贾飞勇. 儿童青少年抑郁障碍的多因素病因研究进展[J/OL]. 中华临床医师杂志(电子版), 2025, 19(11): 854-859.
[15] 高鉴兴, 马晶晶, 夏洁, 柯晓燕, 方慧. 儿童青少年首次抑郁发作的临床特征及非自杀性自伤的影响因素[J/OL]. 中华临床医师杂志(电子版), 2025, 19(09): 633-641.
阅读次数
全文


摘要


AI


AI小编
你好!我是《中华医学电子期刊资源库》AI小编,有什么可以帮您的吗?